EQUINE DIAGNOSTIC IMAGING DECISION TREE

Diagnosing lameness in horses can be challenging, but veterinarians have an arsenal of imaging modalities available to help them make an accurate diagnosis.

SAFENESS OF THE EQUINA® STANDING CT FROM THE PERSPECTIVE OF A HORSE OWNER

Equestrians are always looking for ways to make their horse more comfortable and relaxed. The Equina® standing CT scan is the perfect alternative to traditional CT, requiring only light sedation so the horse can stand naturally during the scan.

HOW AN EQUINE CT SCAN WORKS…

Computed Tomography (CT) is a noninvasive cross-sectional imaging modality that produces a 3D view of part of the body. During a scan, an x-ray beam rotates around the body part, capturing images in slices that a computer pieces together to create a detailed picture.

EQUINE DIAGNOSTIC IMAGING: KNOW YOUR OPTIONS

Equine veterinarians have many tools at hand to help pinpoint problem areas and diagnose issues. Some of these modalities are portable enough to take on a farm call, while others are only accessible at clinics or hospitals.

 

where to find a scanner near you

 
 

Frequently Asked Questions

  • Standing CT is the best way to get diagnostic quality images of an injury to your horses head, neck or lower limbs. The procedure is much faster and produces higher quality images than traditional x-rays and does not require general anesthesia, which is required for conventional CT.

  • Limb scanning: If your horse is scheduled for a limb scan, a facility handler will first bring your horse from the stalls to the Standing CT imaging room. The handler will then lead your horse onto the Equina imaging platform using a lead rope. To image the limbs, either the two front limbs, or the two rear limbs are positioned within the opening of the CT gantry, which sits below the ground. Before scanning, your horse will be sedated to minimize movement during the scan. The operator then positions the CT gantry and collects the images moving the CT gantry up and down the limbs. Scan time is generally only about 20 seconds. After scanning, your horse will be led back to the stalls to recover from sedation.

    Head & Neck issues: If your horse is scheduled for a head scan, a facility handler will lead your horse into special stocks with a cushioned head-board, providing a comfortable platform for your horse to rest during the scan. The operator then positions the CT gantry over the head & neck and initiates the scan. Scans take only 30-40 seconds.. The handler maintains control of the patient throughout the scan with the lead rope. After scanning, your horse will be led back to the stalls to recover from sedation.

  • It is necessary to bring your horse to an equine clinic that has the Equina by Asto CT. Check with your equine hospital or clinic to see if they have this state-of-the-art CT imaging technology.

  • It is not necessary to remove metal shoes for imaging with the Equina. Your veterinarian may choose to remove them if there is something specific to the hoof that they need to visualize.

  • The use of mild sedatives allows your horse to remain relaxed and still during the scan. For most patients, cotton will be added to the ears to minimize any distraction from noise, and blinkers will be added to keep your horse from looking down. Often, the handlers will play music to ensure your horse is as comfortable as possible.

  • The overall procedure will take about 10-30 minutes, including time to chill out in the stalls before & after the procedure, and scanning. The scan takes only seconds, but proper preparation & recovery will make the experience go smoothly.

  • For most cases, x-rays are not needed if you elect to have a CT scan. CT imaging is far quicker and provides a complete and comprehensive assessment, most often finding far more detail than you can expect to see from conventional planar x-ray images.

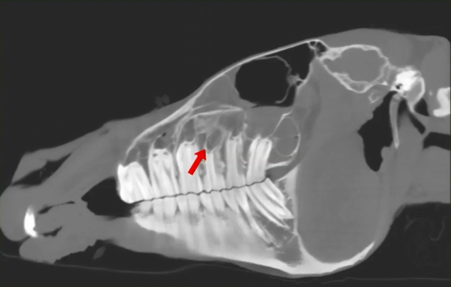
  • Standing CT Is a superb tool for diagnosing lameness problems in limbs. It is also best-in-class for diagnosing diseases of the head, such as ethmoid hematoma, sinus problems and teeth/jaw problems; and for diagnosis of equine neck diseases, such as osteoarthritis and fractures.

  • Lameness and musculoskeletal issues are common in horses and can be hard to diagnose. Because of the high quality of Equina images, it is particularly helpful in finding the specific causes of lameness and other lower limb problems.

  • For Thoroughbred owners, who are heavily invested in their horses for racing and breeding, Equina can preserve the quality of life and financial value of racehorses through incorporation into several parts of routine practice. This includes: pre-purchase images of Yearlings; pre-race monitoring for stress fractures in active racehorses; and CT monitoring during training to identify early signs of stress fracture to enable smarter training.

  • Standing CT is better than other imaging modalities because of the combination of the ease of image acquisition and the quality of the images. In about 30 minutes, your vet can have a comprehensive assessment of the lower limbs, or head and neck of your horse without the risk of general anesthesia. With this detailed information, veterinarians can develop more personalized and effective treatment plans for your horse, leading to quicker recovery and a higher chance of returning to training and performing.

  • Your horse will not feel anything during the CT imaging procedure. The Equina emits very low radiation compared to other conventional CT scanners. This allows handlers to stay with your horse during the scan to comfort them and react to a situation before it occurs.

  • Prices will vary based on the number of scans your horse needs and the type of specialist who will interpret the scans. Generally, a standing CT scan with the Equina is comparable in cost to traditional imaging tests. Spending money on high quality CT scans early in the process can actually save you money in the long run, by ensuring that the treatment is correct for the horse’s condition. The Equina standing CT gives a clear diagnosis and peace of mind.

 

Featured Case Studies

 
 

Any Other Questions?