Trending Research & Whitepapers
In the equine space, fan-beam systems offer several key advantages. Fan-beam systems offer faster scan times which make its images less susceptible to motion artifacts due to swaying or other subtle movements of the equine patient. Fan-beam images also have higher image quality, enabling them to be used to identify subtle pathological changes in the limbs of horses, and important advantage over both traditional radiography and cone-beam CT scanning.
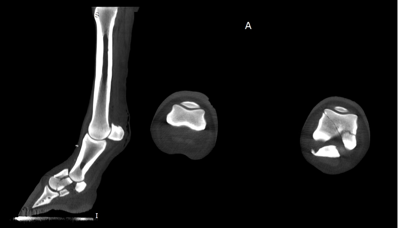
The use of this advanced veterinary technology for early detection and management of musculoskeletal injuries can move us towards a new standard of care for Thoroughbred racehorses. In this paper, we provide a brief description of the key features of the Equina® system, and its use in pre-race screening.
Discover Asto CT Articles
Can we predict fetlock stress fractures before they happen? New research in Equine Veterinary Journal shows how standing CT combined with virtual mechanical testing can assess fracture risk in elite Thoroughbreds by measuring strain in high-risk regions of the distal MC3.
The resulting Equina® system permits simultaneous imaging of both distal limbs in a weight-bearing stance. This enables assessment of anatomical structures under natural load, improving detection of subtle pathology.
We are proud to announce the winners of the 2025 Asto CT Best CT Cases of the Year, recognizing exceptional clinical cases that highlight the diagnostic power, versatility, and clinical impact of standing CT imaging across equine and veterinary medicine.
“The Equine Standing CT at Mizzou is transforming how my colleagues and I diagnose and treat lameness,” says Dr. McCraken. “We’re identifying lesions in new locations and gaining a deeper understanding of how these findings correlate with clinical signs.”
Bones, joints, and soft tissues align differently when a horse is non-weight-bearing. Weight-bearing CT captures the structures as they function during movement and while bearing load, leading to more accurate diagnoses.
Pioneer Equine Hospital, a premier, full-service equine veterinary practice proudly announces the integration of the cutting-edge Asto CT Equina® Standing CT Scanner into its diagnostic services. This state-of-the-art imaging technology marks a significant advancement in the hospital’s commitment to providing exceptional equine care.
IMV imaging, a leader in veterinary diagnostic imaging solutions, and Asto CT®, pioneer of the world’s only true weight-bearing fan-beam CT scanner for equine patients, are proud to announce a strategic partnership aimed at combining their expertise and technology to elevate veterinary imaging capabilities worldwide.
This milestone marks more than a decade of innovation, research, and collaboration between veterinarians, engineers, and industry leaders uniting around a single mission: to make advanced, cross-sectional imaging safer and more accessible for horses.
A Partner in Innovation, Not Just a Product: Installing advanced imaging technology is no small feat, it requires the right technology and the right team. Asto CT approaches every installation as a long-term partnership, supporting clinics not only through equipment delivery but throughout the entire process: planning, design, installation, training, clinical ramp-up, and beyond.
Although both types of CT scanners create 3D images, they work in very different ways. These differences can impact image quality, how accurate the diagnosis is, and how easy the scanner is to use in a clinical setting. Understanding these key differences can help you choose the best option for equine veterinary care.
Asto CT Webinars
Bringing Standing CT to Your Equine Clinic:
A Practical Guide from Asto CT
In this eBook, learn:
How to select the ideal partner for your equine CT journey
Key milestones in installing an equine standing CT and ensuring timely delivery
The importance of choosing a CT partner committed to ongoing innovation and future upgrades
Visual Proof
Stay Connected
Subscribe to our Newsletter – Get the latest updates and exclusive offers delivered straight to your inbox.
A new tool, Equina® (Asto CT, Middleton, WI), has been developed and specifically designed for a veterinarian to safely image a sedated standing horse in a natural load-bearing position solving some of the key barriers to equine CT imaging. In this paper, we provide a brief description of the key features of the Equina® system and describe how it can move us into a new equine standard-of-care.